телефон для связи: +7(800)707-63-96
Помочь детям
Нейробластома забрюшинного пространства у детей

Нейробластома забрюшинного пространства у детей

 Нейробластома забрюшинного пространства у детей – это злокачественная опухоль, которая диагностируется в 97% случаях у пациентов, не достигших 15-летнего возраста, из них – это 85-90% дети до 5-ти лет. Чаще заболевание выявляется у мальчиков, чем у девочек. С возрастом риск развития злокачественных процессов становится ниже. Выздоровление возможно при ранней диагностике и правильной комплексной терапии.

 Нейробластома: краткое описание болезни

 Нейробластома забрюшинного пространства у детей формируется из нейробластов.

Нейробласты – это зародышевые нервные клетки, которые в дальнейшем превращаются в нейроны. Патология поражает симпатическую нервную систему, возникает во внутриутробном или раннем постнатальном периоде.

Основные места локализации нейробластомы у детей:

  • брюшная полость – 60-65%;
  • грудная клетка – 16-20%;
  • шея – 5%;
  • малый таз – 3%
  • редко: вилочковая железа, легкие, почки и другие органы.

 Метастазы распространяются с током лимфы (лимфогенный путь), а также через кровь (гематогенный путь) с поражением печени, легких, костей и костного мозга. Нейрогенные опухоли представлены двумя видами: ганглионейромы доброкачественные (новообразования) и ганглионейробластомы (промежуточный вариант).

 Обратите внимание! Не исключено спонтанное, без проведения лечения исчезновение нейробластом, преимущественно – у детей в возрасте до 1 года. Причины спонтанной ремиссии до настоящего времени учеными не выяснены. Считается, к ней приводят естественные изменения в опухолевых клетках.

 Причины нейробластомы забрюшинного пространства у детей

 В настоящее время у ученых отсутствуют доказательства, что нейробластома формируется под влиянием внешних факторов: экологической обстановки, приема беременной женщиной лекарственных препаратов, вредных привычек и т.д.

В большинстве случаях специалистам не удается выяснить, какие факторы привели к началу патологии. Дети заболевают при злокачественном изменении нейробластов, предположительно – во внутриутробный период при изменении хромосом или мутациях.

В ходе исследований выяснено: клетки нейробластом разнородные. Генетический материал не подвержен специфическим изменениям, видимым у всех пациентов. Предположительно, к патологии приводят генетические и эпигенетические изменения.

Нейробластома забрюшинного пространства у детей в 1-2% случаях носит наследственный характер. Родственники некоторых пациентов перенесли данную болезнь или аналогичные виды злокачественных опухолей.

 Клинические проявления нейробластомы

 Риск нейробластомы забрюшинного пространства заключается в отсутствии клинической картины на ранних этапах забоелвания. Часто новообразование обнаруживается случайным образом в процессе профилактического осмотра, при рентгеновском или ультразвуковом исследовании. Дети предъявляют жалобы, когда новообразование достигает больших размеров, а также сдавливает соседние органы. Патологический процесс, независимо от места формирования опухоли, сопровождается:

  • утомляемостью, слабостью, потливостью, побледнением кожных покровов;
  • постоянным беспричинным повышением температуры;
  • увеличением лимфатических узлов, образованием узлов и припухлостей;
  • запорами, поносами, тошнотой, рвотой, отсутствием аппетита, резким похудением при образовании опухоли забрюшинного пространства.

 Внимание! Данная симптоматика присуща также другим заболеваниям. Врача посетить не помешает в любом случае. Поражение метастазами костного мозга может вызвать анемию, тромбоцитопению, лейкопению, болевые ощущения в местах поражений.

 Нейробластома забрюшинного пространства: стадии

 Нейробластома забрюшинного пространства классифицируются по ряду критериев.

В соответствии с международной системой INSS, развитие патологических процессов проходит следующие этапы:

  1. Новообразование не выходит за пределы определенной области. Его полное удаление возможно оперативным методом.
  2. А – новообразование локализуется в определенной области, однако его полное удаление невозможно. В – образование может быть удалено оперативным способом, но при этом наблюдается наличие раковых клеток в лимфоузлах.
  3. Удаление опухоли невозможно. Есть распространения патологических процессов на другой стороне тела с поражением лимфатических узлов и тканей. При расположении опухоли в центральной части опухоль распространяется на обе стороны.
  4. Патологические процессы развиваются в отдаленных лимфоузлах, костях, костном мозге, коже и других органах. 4S – данная стадия относится к пациентам, не достигшим годовалого возраста. Новообразование соответствует первым двум стадиям, однако происходит поражение кожных покровов, печени и редко костного мозга.

Стадия заболевания определяется после проведенной диагностики.

 Диагностика и лечение нейробластомы

 Первоначально в обязанности врача входит анализ жалоб пациента, сбор анамнеза, проведение физического обследования. Необходима оценка общего опухолевого симптомокомплекса, длительности и динамики клинических проявлений, онкологического семейного анамнеза. Часто при опухолевом поражении у ребенка наблюдаются другие пороки развития. Далее целесообразно назначить:

  • лабораторные исследования (общий и биохимический анализ крови);
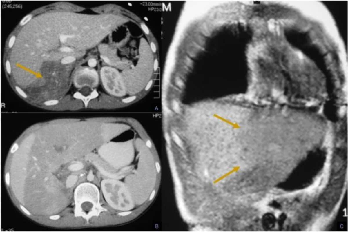
  • УЗИ брюшной полости, КТ и МРТ;
  • биопсия, цитогенетический анализ;
  • позитронно-эмиссионная компьютерная томографииюя (ПЭТ-КТ).

 После правильной поставки диагноза пациенту назначается индивидуальная схема лечения. Кроме хирургического вмешательства возможно проведение химиотерапии, лучевой и таргетной терапии, а также иммунотерапии. О том, как лечить нейробластому забрюшинного пространства, мы расскажем в следующих статьях.

Продолжая использовать наш сайт, вы даете согласие на обработку файлов cookie